明明没有散光,为什么孩子戴OK镜却需要“散光片”?
走进医院,面对“常规片”与“散光片”的选择,不少家长陷入困惑:
· 为什么我家孩子明明有散光,却只需要配常规片?
· 为什么别家孩子验光单上没有散光,反而要用散光片?
这背后的关键,在于一个容易被混淆的概念:OK镜验配中的“散光”,和我们平时所说的“散光”,并非同一回事。
一、此“散光”非彼“散光”
平时我们拿到的验光单,上面记录的散光度数,是角膜、晶状体等整个屈光系统“融合”在一起的总散光。配框架眼镜时,我们考量的是这个总散光。
而OK镜是直接戴在角膜前表面的,因此验配时关注的核心,是角膜散光——即角膜本身的形态是否规则。
简单来说:
· 框架镜配的是“整条路”的散光
· OK镜看的是“路面本身”平不平
有些孩子总散光不高,但角膜形态不规则、角膜散光较大,反而需要散光片;而有些孩子总散光虽然存在,但主要来源于晶状体,角膜本身形态良好,用常规片即可。这就是为什么“散光片”的判定,不能只看验光单的原因。

二、常规片 vs 散光片:到底有什么区别?
类型常规片散光片(双轴片/环曲片)
设计特点规则环形,各方向弯曲度一致不同方向曲率不同,呈“环曲面”设计
适用角膜球形角膜,形态规则不规则角膜、存在角膜散光
制作方式常用参数模具快速生产需根据医生参数定制切削
散光片的本质,是为“不规则的角膜”量身定制一件“合身的衣裳”,让镜片能够稳定贴合、均匀施力。
三、为什么散光角膜不能用常规片“凑合”?

常规片是球面设计,而散光角膜的形状更接近“橄榄球”——不同方向的曲率不同。
当规则的环形镜片戴在不规则的角膜上时,两者匹配度低,镜片难以形成理想的密闭空间,容易导致:
· 镜片偏位 → 塑形区域偏移,控制效果打折扣
· 漏液 → 泪液交换异常,影响塑形均匀性
· 角膜上皮损伤 → 镜片贴合不良,反复摩擦角膜
一个形象的比喻:
把一只圆形的小碗扣在一颗橄榄球上,碗沿是无法完全贴合的。同理,常规片在散光角膜上,总会有“翘边”的地方——这恰恰是塑形失败甚至角膜损伤的隐患。
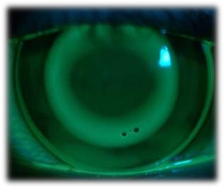
下图为角膜散光的眼睛佩戴两种镜片的贴合对比:


· 常规片(图一):下方可见明显漏液
· 散光片(图二):完美贴合,塑形均匀
四、这5类孩子,更适合散光片!
根据临床经验,以下情况的孩子,散光片往往是更优选择:
1. 散光范围较大——角膜地形图显示“边到边”散光
2. 散光度数较高——角膜散光度数与近视度数之比>1:2
3. 角膜形态不规则或不对称
4. 配戴常规镜片时出现不明原因偏位
5. 眼睑张力较强——眼睑力量大,容易推挤镜片
需要说明的是:不是所有散光都需要散光片,但需要散光片的孩子,绝对不能拿常规片凑合。
五、专业验配五步走:每一步都不能省
OK镜属于国家三类医疗器械,验配是严谨的医疗行为。一个负责任的验配流程,至少包含以下五个关键环节:
01 选择正规机构与经验丰富的医生
验配前做好功课,选择正规眼科医疗机构,以及具备丰富验配经验的医生。同样的镜片品牌,验配水平的差异,直接影响安全与效果。
02 精准验光:
有的孩子眼睛调节能力强,不放松调节验光容易混入“假性近视”,干扰度数判断。放松调节验光是精准验配的前提。
03 角膜地形图检查
这是判断孩子适合常规片还是散光片的必备检查。它能精确测量角膜形态、曲率分布和散光轴向,为医生提供客观决策依据。
04 试戴评估
根据孩子眼部参数选择合适品牌镜片进行试戴,在裂隙灯下观察镜片定位、活动度、泪液交换情况,对比适配效果。试戴不是“走形式”,而是验证方案的关键一步。
05 定制镜片
若评估后确定需要散光片,医生还需根据角膜曲率、散光轴位、瞳孔直径等参数综合评估散光片的环曲量及镜片各区域的设计,提交厂家进行精准加工。定制周期通常为1-3周,耐心等待,是为了更安全、更有效的佩戴体验。
成都普瑞眼科周新平:作为一名从事眼视光工作二十余年的视光师,我深知:每一次镜片参数的选择,背后都是对一个孩子未来几年眼健康的责任。
“常规片”与“散光片”,没有绝对的好坏之分,只有“适合”与“不适合”的区别。关键在于:通过专业的检查与评估,为每一双眼睛找到那个“刚刚好”的方案。
(责任编辑:华康)